Skip Menu
Continue

Existing Patients: (603) 436-9200
New Patients: (603) 319-4300
Connect with Us:
Logo
  • Home
  • About Us
    • Our Office
    • New Patients
    • Smile Gallery
    • Dental Videos
    • Testimonials
  • Our Doctor
    • Richard Y. Liu, DMD, MMSc
  • Services
      • Cosmetic Dentistry
      • Dental Technology
      • General Dentistry
      • Restorative Dentistry
    • View All
  • Dental Health
  • Contact
    • Contact Us
    • Request Appointment

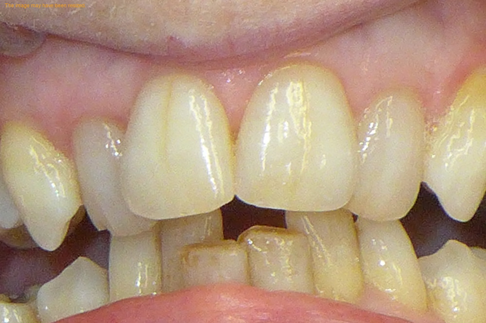
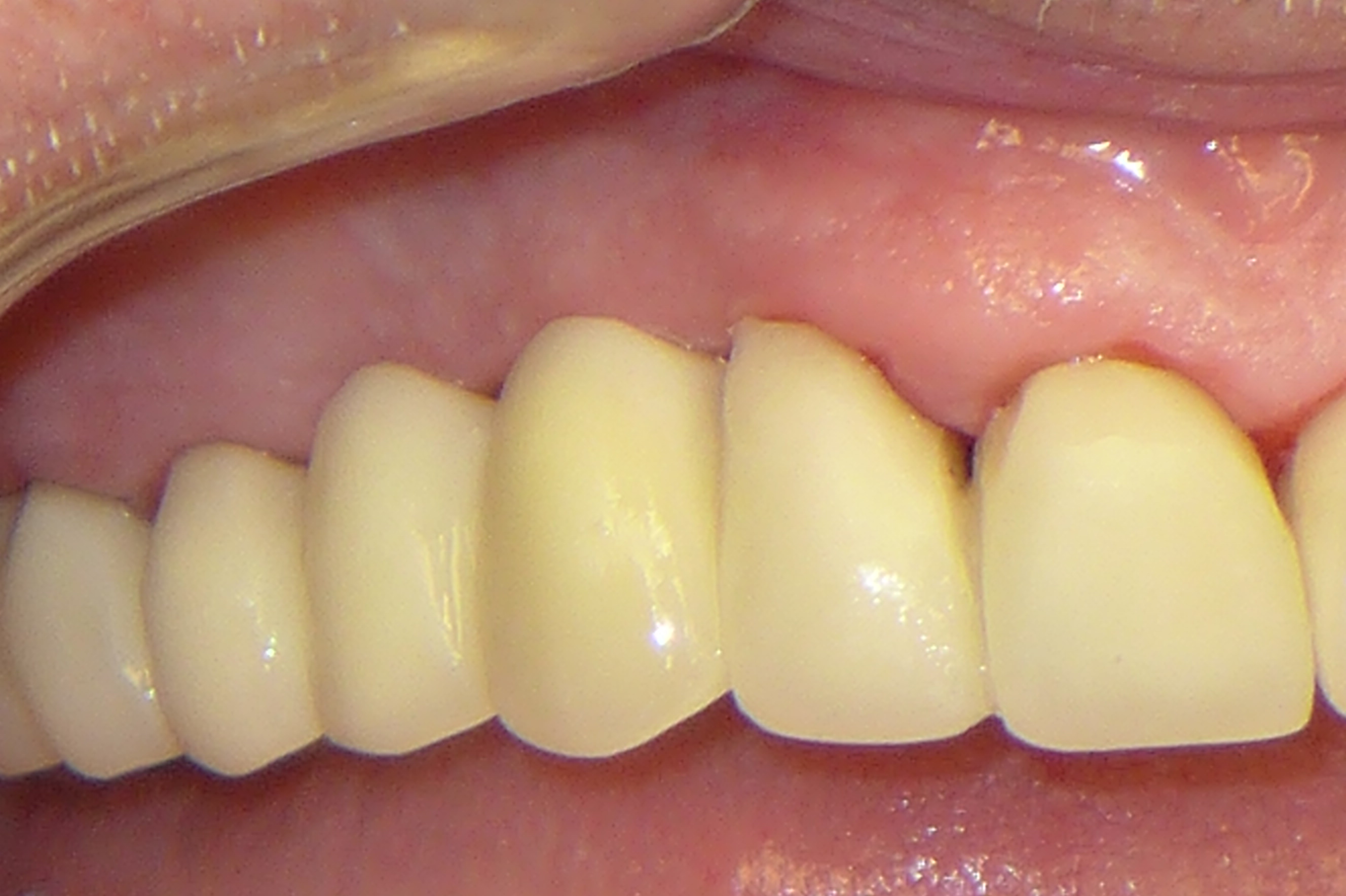
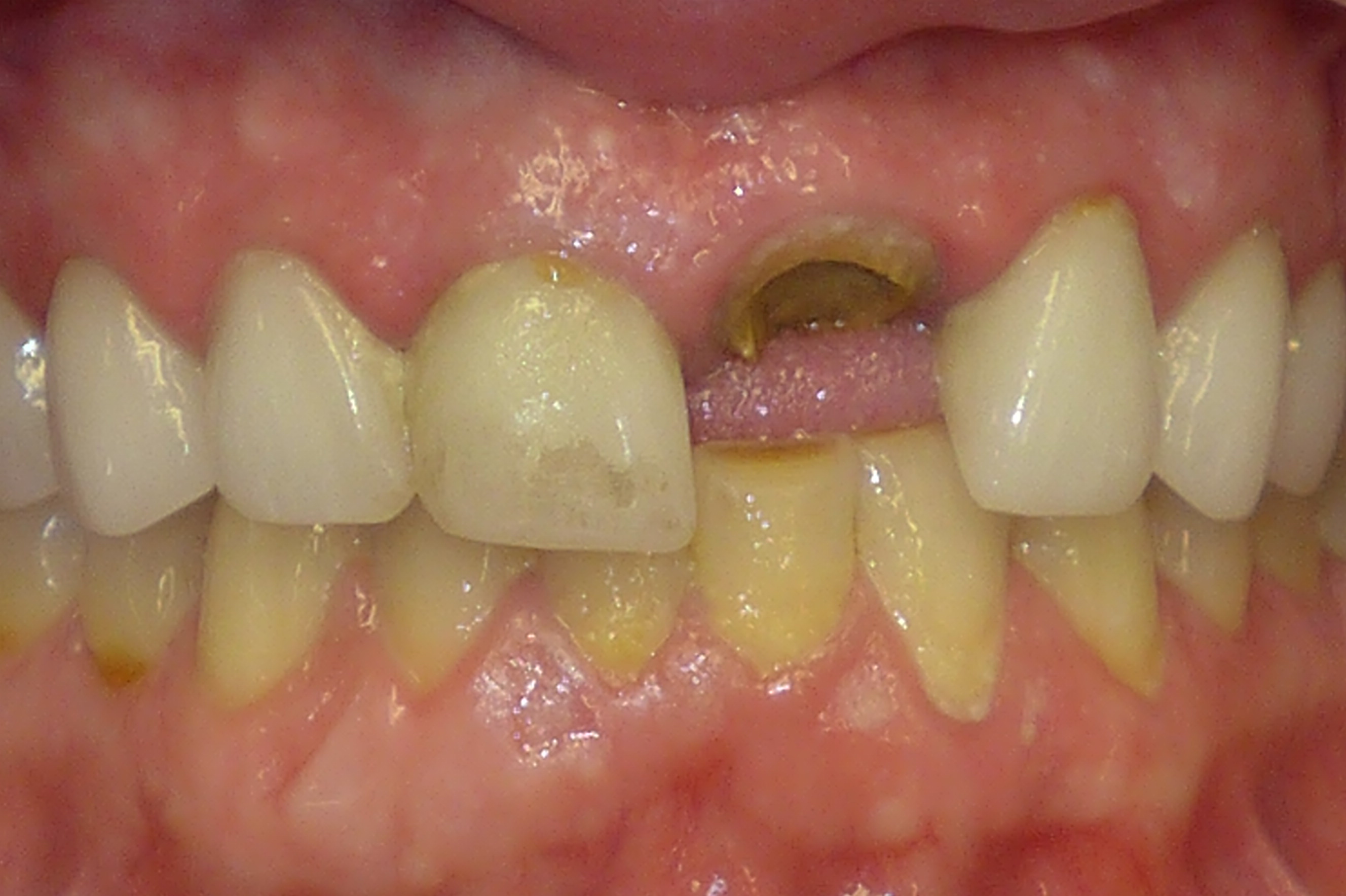
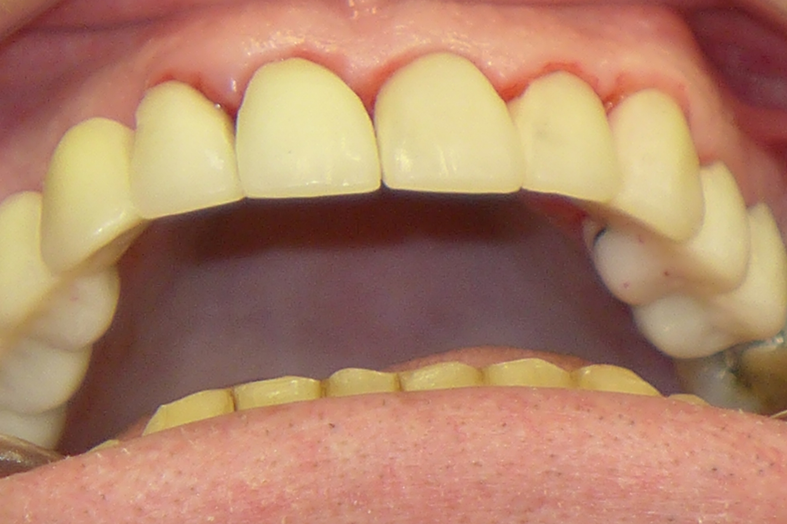
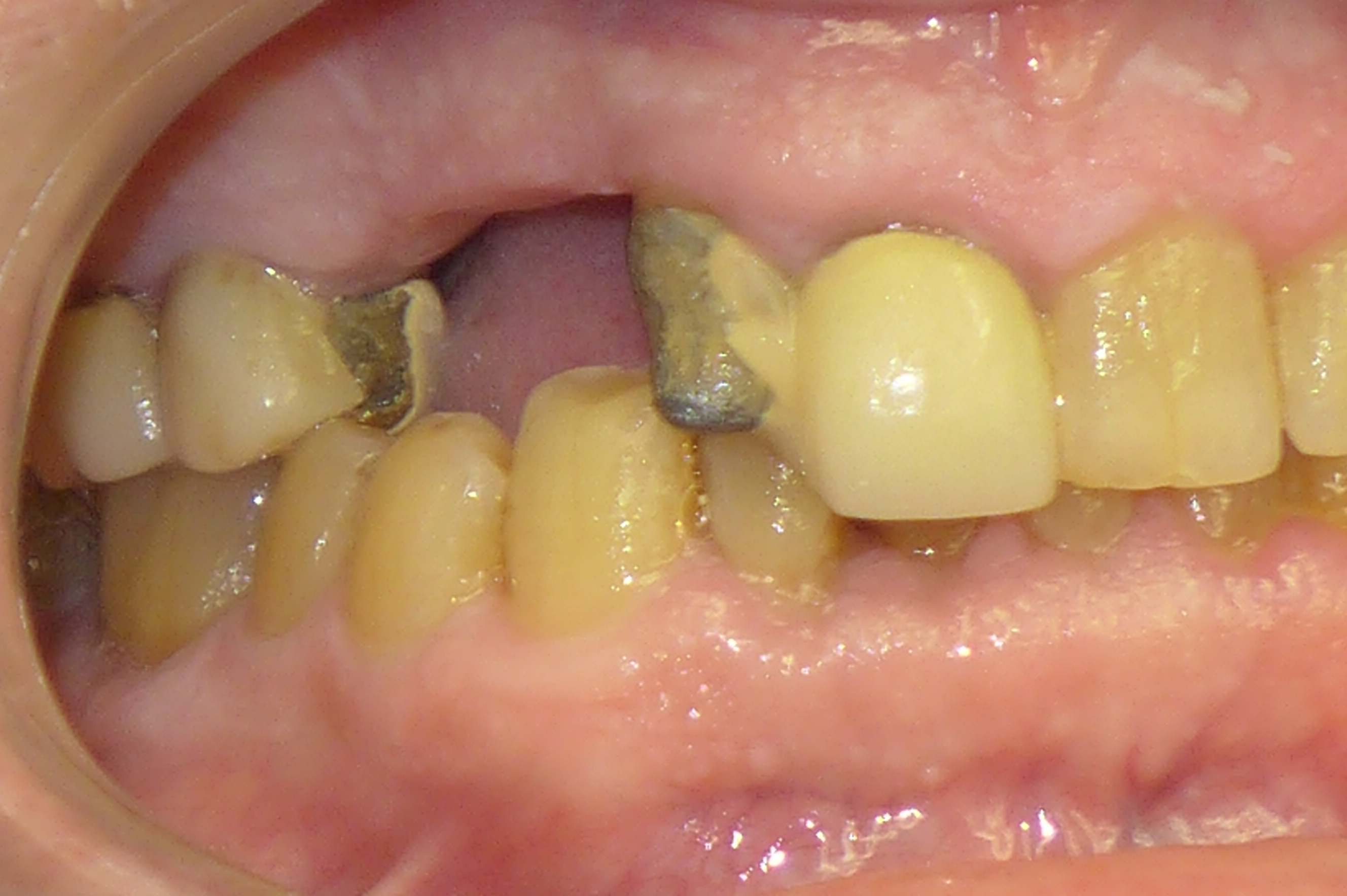
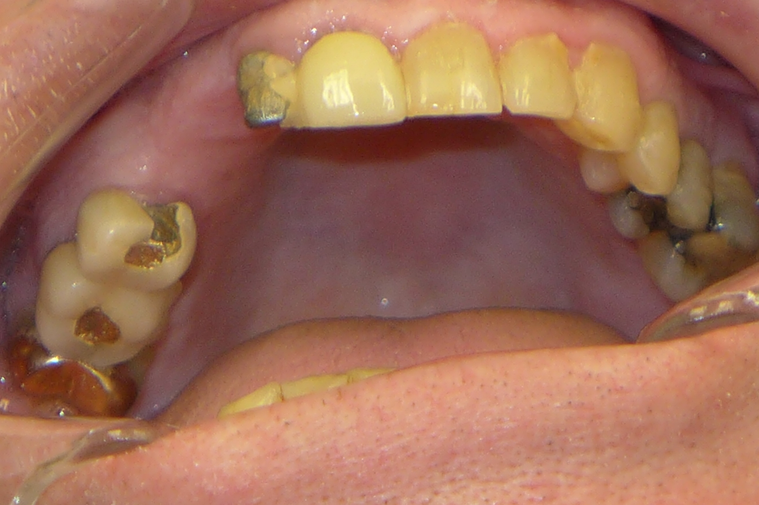
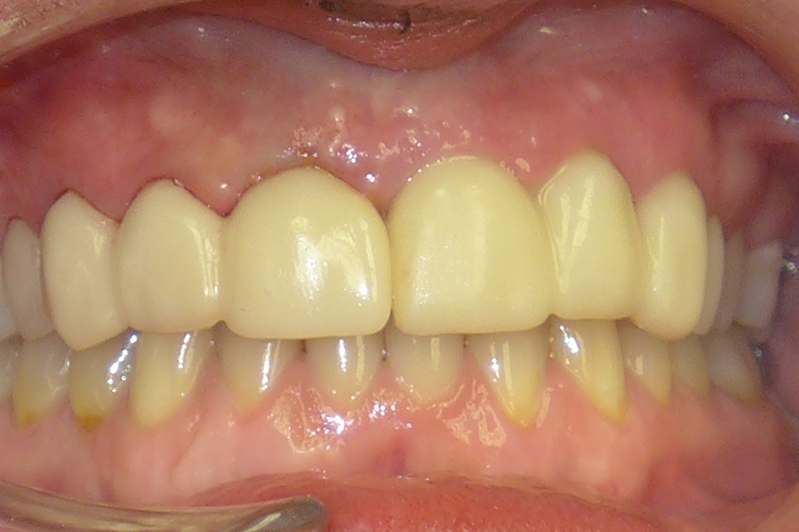
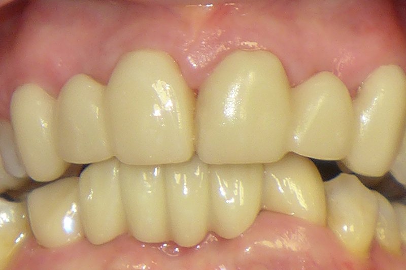
Smile Gallery

Additional Information

Our Location

101 Shattuck Way
Suite 5
Portsmouth, NH 03801
Existing Patients: (603) 436-9200
New Patients: (603) 319-4300

Follow Us